Nėštumas - tai ypatingas metas kiekvienos moters gyvenime, kai kūno sveikata tampa dar aktualesnė ir reikalauja daugiau dėmesio. Nors daugelis pokyčių yra malonūs, kai kurie gali neigiamai paveikti burnos ertmės sveikatą. Hormonų svyravimas, rytinis pykinimas, pakitę mitybos įpročiai ir kiti veiksniai gali sukelti įvairias burnos problemas, tarp jų ir stomatitą. Stomatitas - tai burnos gleivinės uždegimas, kuris gali sukelti diskomfortą ir skausmą. Nors jis dažnai nėra pavojingas, gali stipriai paveikti gyvenimo kokybę ir reikalauti gydymo.
Kas yra stomatitas?
Stomatitas apima bet kokį burnos gleivinės uždegimą, kuris gali atsirasti dėl įvairių priežasčių. Stomatito židiniai gali atsirasti bet kurioje burnos vietoje - vidinėje skruostų pusėje, ant lūpų, dantenų, liežuvio, gomurio. Bloga žinia - stomatitas yra linkęs kartotis. Šia stomatito forma gali sirgti ir vaikai, ir suaugusieji, o kai kuriais atvejais jis gali būti rimtesnės ligos požymis.
Stomatito priežastys nėštumo metu
Nėštumo metu organizme vyksta įvairūs fiziologiniai ir hormoniniai pokyčiai, kurie gali turėti įtakos burnos ertmės sveikatai ir padidinti stomatito riziką. Pagrindinės stomatito priežastys nėštumo metu apima:
- Hormonų pokyčiai: Padidėjęs estrogeno ir progesterono kiekis gali padaryti dantenas jautresnes apnašose esančioms bakterijoms, o tai gali sukelti uždegimą, pavyzdžiui, gingivitą. Didelis progesterono ir estrogeno hormonų kiekis nėštumo metu gali paskatinti dantų atsilaisvinimą.
- Imuninės sistemos pokyčiai: Nėštumo metu imuninis atsakas gali pasikeisti, o tai, kartu su atidėtu dantų gydymu, ypač padidina riziką vystytis stiprioms odontologinėms infekcijoms.
- Pykinimas ir vėmimas: Pykinimas ir vėmimas yra dažna nėščiųjų problema. Dažnas vėmimas gali padengti dantis skrandžio rūgštimis, kurios didina dantų ėduonies atsiradimo riziką, sukeldamos dantų emalio eroziją.
- Potraukis saldžiam maistui: Dažnai moterys nėštumo metu jaučia ypatingą potraukį maistui, įskaitant saldumynus. Daug angliavandenių turintys maisto produktai nėra naudingi, nes skatina bakterijų susidarymą ant dantenų.
- Burnos higienos trūkumai: Nors besilaukiančios moterys turėtų rūpintis burnos higiena visą gyvenimą, nėštumo metu tai tampa dar svarbiau. Netinkamai prižiūrint dantis ar burnos ertmę, gerokai padidėja rizika susirgti burnos ertmės susirgimais.
- Traumos: Bet koks burnos gleivinės pažeidimas, pavyzdžiui, įkandimas ar netinkamai pritaikyti ortodontiniai prietaisai, gali sukelti stomatitą.
- Vitaminų ir mineralinių medžiagų trūkumas: Nors tai nėra tiesioginė stomatito priežastis, tam tikrų maistinių medžiagų trūkumas gali silpninti organizmą ir didinti jautrumą infekcijoms.
- Virusinės infekcijos: Herpes simplex virusas (HSV) yra vienas iš pagrindinių stomatito sukėlėjų. Herpesvirusas Zoster taip pat gali sukelti stomatitą.
- Aftinės opos: Aftinės opos yra skausmingos mažos opelės burnoje. Jų priežastys dažnai nežinomos, tačiau manoma, kad jos gali būti susiję su imuninės sistemos sutrikimais, stresu, hormonų pokyčiais ar maisto alergijomis.
Jeigu burnoje padidėjusi rūgštingumo terpė (taip nutinka po valgio ir gėrimo, taip pat - po vėmimo), valyti dar neskubėkite, nes rizikuojate pažeisti dantų emalį.
Stomatito simptomai nėštumo metu
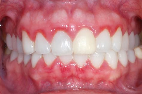
Stomatito simptomai gali skirtis priklausomai nuo jo tipo ir priežasties. Dažniausiai pasitaikantys simptomai apima:
- Opų atsiradimas burnoje: Mažos, skausmingos opos, kurios dažnai būna baltos arba gelsvos, su raudonu krašteliu.
- Gleivinės paraudimas ir patinimas: Burnos gleivinė gali būti raudona ir uždegta.
- Skausmas ir diskomfortas: Opų vietose atsiranda stiprus skausmas, kuris gali apsunkinti valgymą, kalbėjimą ir gėrimą.
- Karščiavimas ir bendras silpnumas: Kai kuriais atvejais stomatitas gali lydėti karščiavimas, ypač jei infekcija yra virusinė.
- Dantenų kraujavimas ir patinimas: Tai gali būti gingivito, dažnai pasitaikančio nėštumo metu, požymiai.
- Nėščiųjų epulis: Ant dantenų besiformuojantis apvalus darinys, kuris gali kraujuoti.
Jeigu infekcija - lengvos formos, burnoje atsiranda kelios skausmingos opos. Sunkesniais atvejais pacientai karščiuoja, jiems gali skaudėti galvą, sutrikti apetitas, miegas ir kt. (t. y. simptomai išplinta už burnos ribų).

Kaip rūpintis burnos sveikata nėštumo metu?
Nėštumo metu itin svarbu skirti ypatingą dėmesį burnos higienai. Nuo jos priklauso ne tik motinos, bet ir būsimo naujagimio gera savijauta bei sveikata. Pagrindiniai burnos ertmės priežiūros principai išlieka tie patys, tačiau nėštumo metu jiems reikia skirti dar daugiau dėmesio:
- Kruopšti burnos higiena: Dantis valyti reikia mažiausiai 2 kartus per dieną, mažiausiai 3-4 minutes, stengiantis išvalyti kiekvieną danties paviršių. Šepetėlis turi būti minkštas, kad sumažėtų dantenų kraujavimo ir uždegimo rizika. Kruopščiai valykite dantis ryte ir vakare.
- Tarpdančių valymas: Nepamirškite siūlo tarpdančiams valyti. Naudinga naudoti ir specialius tarpdančių šepetėlius, kurie geriau pasiekia tarpdančiuose esančias apnašas.
- Burnos irigatorius: Idealiu sprendimu burnos higienos priežiūrai gali būti irigatoriaus naudojimas. Irigatoriaus purškiama vandens srovė apeina visas kliūtis, pasiekdama sunkiausiai pasiekiamas burnos ertmės vietas. Jis leidžia greitai ir lengvai pasirūpinti burnos ertmės priežiūra be jokių pastangų.
- Dantų pasta su fluoru: Naudokite dantų pastą su fluoru, nes jis stiprina ir apsaugo dantų emalį nuo įtrūkimų ir pažeidimų.
- Burnos skalavimo skysčiai: Dėl burnos skalavimo skysčių naudojimo pasikonsultuoti su odontologu: jis įvertins nėščiosios burnos ertmės būklę ir patars, kaip dažnai ir kiek ilgai juos naudoti.
- Mityba: Sveikai maitinkitės. Stenkitės riboti maisto produktus ir gėrimus, turinčius daug pridėtinio cukraus ir tuščių angliavandenių. Kalcio ir vitamino D vartojimas yra svarbus kaulų stiprinimui.
- Vengti žalingų įpročių: Rūkymas ir besaikis alkoholio vartojimas kenkia burnos sveikatai.
Jeigu vemiate, išskalaukite burną vandeniu arba burnos skalavimo skysčiu tuoj pat, kai tik galėsite. Tačiau, jei vemiate, neskubėkite valyti dantų iškart po to, nes galite pažeisti dantų emalį.

Kada kreiptis į odontologą?
Kiekviena nėščioji privalo reguliariai tikrintis dantų būklę, o pajutus danties skausmą, gydymo neatidėlioti. Geriausia apsilankyti dar tik planuojant nėštumą ir pasirūpinti, kad būtų atlikta profesionali burnos higiena, išgydyti ėduonies pažeisti dantys ar kitos burnos ligos. Jeigu pas odontologą nespėta apsilankyti prieš nėštumą, konsultacijos metu būtina informuoti odontologą apie nėštumą.
Ką daryti, jeigu besilaukiant pradėjo skaudėti dantį? Gydymą visada geriau užbaigti dar iki pastojimo, tačiau esant tokioms ūmioms situacijoms odontologinės procedūros galimos ir nėštumo metu. Visgi, odontologijos klinika turėtų būti aplankyta per antrąjį nėštumo trimestrą (13-21 nėštumo savaitė). Tai - geriausias metas. Pirmuoju ir trečiuoju trimestru suteikiama tik būtiniausia odontologinė pagalba (prieš tai pasitarus su ginekologu).
Jeigu reikalinga sudėtingesnė intervencija, visuomet konsultuojamės su akušeriais-ginekologais. Prireikus į kliniką galima atvykti tik pasidaryti rentgeno nuotrauką, nes šiuolaikinė įranga, kurios apšvitos dozė yra itin maža ir ekspozicijos laikas trumpas, yra saugi vaisiui. Visada rekomenduojame drąsiai klausti ir konsultuotis su savo odontologu visais jums rūpimais klausimais.
Kaip išlaikyti dantis sveikus nėštumo metu
Dažniausiai pasitaikančios burnos ligos nėštumo metu
Nėštumo metu moterys gali susidurti su įvairiomis burnos ertmės ligomis, kurių dažniausios yra:
- Gingivitas: Dažniausiai pasitaikanti burnos liga nėštumo metu, paveikianti net apie 60 proc. nėščiųjų. Jį išduoda paraudusios, paburkusios dantenos, kraujavimas valant dantis.
- Periodontitas: Jis gali išsivystyti, jeigu negydomas gingivitas.
- Dantų ėduonis: Dėl hormonų disbalanso, pakitusio pH burnoje, polinkio į saldų maistą bei dažną užkandžiavimą, nėščiosios rizikuoja susirgti dantų ėduoniu.
Kiekvienos moters burnos ertmės būklė yra individuali. Reguliarūs vizitai pas dantų higienistą yra būtini, ypač kai susiduriama su neįprastais pakitimais, kurių nebūdavo anksčiau.

tags: #stomatitas #nestumo #metu

