Akių dugno tyrimas yra vienas svarbiausių diagnostinių akių sveikatos tyrimų, leidžiantis įvertinti tinklainės, regos nervo ir akies kraujagyslių būklę. Tai paprastas, greitas ir itin informatyvus tyrimas, padedantis anksti diagnozuoti ne tik akių, bet ir bendras organizmo ligas. Daugelis akių ligų vystosi tyliai, neskausmingai ir ilgai nepastebimai, todėl ankstyva diagnostika padeda išvengti regėjimo praradimo. Akių dugno tyrimas yra vienas pagrindinių metodų, padedantis diagnozuoti tiek akių, tiek viso organizmo ligas.
Regėjimo raida yra kritinis procesas, todėl anksti nustatyti bet kokius sutrikimus yra labai svarbu. Vaikų regėjimo patikrinimas rekomenduojamas visiems vaikams iki 18 metų. Profilaktinis pasitikrinimas pas akių specialistą rekomenduojamas kasmet. Gydytojai oftalmologai vaikų regėjimą tikrinti rekomenduoja kartą per metus. Išsami gydytojo oftalmologo konsultacija yra būtina kaip kasmetinio vaiko sveikatos tikrinimo dalis. Vaikų klinikoje atliekama vaikų akių ir regos patikra nuo 3 metų iki paauglystės: daromi tikslūs tyrimai, taikoma individuali taktika ir pateikiamos aiškios rekomendacijos tėvams.
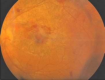
Kaip atliekamas akių dugno tyrimas?
Prieš atliekant akių dugno tyrimą, gydytojas į akis įlašina specialius akių lašus, kurie plečia vyzdžius. Šie lašai užtikrina, kad akies dugnas bus gerai matomas, nes išsiplėtę vyzdžiai leidžia įvertinti tiek tinklainę, tiek regos nervą ir kraujagysles. Paciento apžiūra ir anamnezė yra svarbi tyrimo dalis. Gydytojas pasiteirauja apie regėjimo pokyčius, galimus nusiskundimus, šeimos ligų istoriją. Po vyzdžio išplėtimo atliekama akių dugno apžiūra. Tyrimo metu pastebėtos pakitimų vietos, kraujagyslių būklė, geltonosios dėmės išvaizda ir kiti duomenys aptariami su pacientu.
Tyrimas visiškai neskausmingas, nekontaktinis ir neinvazinis, todėl yra saugus žmonėms bet kokio amžiaus, įskaitant vaikus bei senjorus. Akių dugno tyrimas yra vienas tiksliausių būdų anksti aptikti rimtas akių ligas, kurios pradžioje gali nesukelti jokių simptomų. Akių dugnas - tai vienintelė vieta organizme, kur gydytojas gali tiesiogiai pamatyti kraujagysles. Naudinga vertinant bendrą sveikatos būklę.

Kada akių dugno tyrimas yra būtinas?
Akių dugno tyrimas yra svarbus vertinant daugelio ligų eigą ir anksti diagnozuojant potencialias problemas. Jis leidžia įvertinti regos nervo diską, kurio pakitimai rodo glaukominius procesus. Tai viena dažniausių vyresnių žmonių regėjimo praradimo priežasčių - geltonosios dėmės degeneracija. Diabetu sergantiems žmonėms tinklainės kraujagyslės pažeidžiamos dažniau, todėl diabetinė retinopatija yra rimta komplikacija. Padidėjęs kraujospūdis gali sukelti tinklainės kraujagyslių susiaurėjimą ar išsiplėtimą, todėl hipertenzinė retinopatija taip pat yra diagnozuojama šio tyrimo metu. Tyrimo metu galima pastebėti tinklainės įtrūkimus, plyšius ar atsisluoksniavimus, kas gali signalizuoti apie tinklainės atšoką. Kraujagyslių užsikimšimai ir insulto grėsmė taip pat gali būti pastebėti, nes tinklainės venos ar arterijos užsikimšimas gali būti ankstyvas ženklas, kad kraujotakoje yra rimtų pokyčių. Optinio nervo uždegimas taip pat gali būti diagnozuojamas.
Regėjimo pokyčiai ar kiti akyse pastebimi pakitimai gali suponuoti ir kitas ligas. Pavyzdžiui, kraujosruvos gali pasufleruoti apie cukrinį diabetą, akipločio sumažėjimas - net apie smegenų patologiją, o besikartojantys akių uždegimai gali reikšti autoimunines ligas ar reumatinę patologiją. Akių dugno tyrimas gali parodyti neurologines ligas: regos nervo paburkimas ar kiti pakitimai gali būti susiję su padidėjusiu galvos smegenų spaudimu, neurologiniais uždegimais ar kitomis nervų sistemos ligomis.

Akių dugno tyrimas vaikams
Taip, akių dugno tyrimas gali būti atliekamas ir vaikams. Jis ypač svarbus įtariant įgimtas akių patologijas, regos nervo pakitimus ar esant paveldimam polinkiui į akių ligas. Vaikams regėjimą tikrina tik patyrę gydytojai oftalmologai. Įprastai vaikų regos patikra užtrunka apie 30 minučių. Po regėjimo patikrinimo, esant poreikiui išrašoma medicininė pažyma, akinių receptas bei kontaktinių lęšių receptas. Tėvams nerimą gali kelti ikimokyklinio amžiaus vaikų dažnas akių trynimas, sustiprėjęs mirksėjimas, atsisakymas dėlioti dėliones ir žaisti smulkius žaidimus; mokyklinio amžiaus vaikų - suprastėjusi koncentracija, sunkumai skaitant nuo lentos, netaisyklinga laikysena, sąsiuvinio artinimas prie veido. Atkreipkite dėmesį: jei vaiko akys išsiskiria, nuotraukose matomas epizodinis žvairumas arba viena iš akių būna raudona ir atrodo asimetriška, nedelsdami registruokitės į konsultaciją vaikų klinikoje. Indikacijos gali būti ir ankstyvas, ilgas naudojimasis ekraniniais įrenginiais, paveldima trumparegystė, neišnešiotumas, alergijos bei nusiskundimai akių sausumu ar deginimu po užsiėmimų. Mūsų gydytojų atliekama profilaktinė akių patikra vaikams apima amžiui pritaikytus testus, o prireikus - diagnostiką su frakcine cikloplegija, ragenos topografiją ir akies ašinio ilgio kontrolę, kad laiku koreguotume rizikas, sulėtintume nepageidaujamą ligos dinamiką ir sumažintume ambliopijos tikimybę.
Vaikų klinikoje vertinama refrakcija (įskaitant frakcinę cikloplegiją), stereoregėjimas, fuziniai rezervai, akių padėtis, akių dugno būklė ir akies obuolio augimo tempai. Atsižvelgdamas į rezultatus gydytojas sudaro individualų planą: atlieka optinę korekciją, pritaiko aparatinį regos gydymą, paskiria stebėjimo grafiką ir pratimų, kuriuos galima atlikti namuose. Tėvai gauna aiškią išvadą apie vaiko būklę, skaidrias kainas, rekomendacijų ir informaciją, kiek kainuoja kiekvienas etapas. Taip pat aptariama tikėtina regos dinamika (kada gali pasirodyti pirmųjų pokyčių), paprastai paaiškinami kiekvienos metodikos privalumai ir ribojimai bei įteikiama regos higienos namuose atmintinė. Visos procedūros vyksta žaismingai ir draugiškai, o kontroliniai patikrinimai planuojami individualiai (atsižvelgiant į pamokų, būrelių laiką ir regos krūvį), kad būtų palaikomas stabilus vaikų funkcinių rodiklių gerėjimas.

Kaip pasiruošti akių dugno tyrimui?
Specialaus pasiruošimo akių dugno tyrimui nereikia, tačiau rekomenduojama atvykti nevairuojant, nes po vyzdžių išplėtimo regėjimas gali būti laikinai neryškus. Taip pat verta pasiimti akinius nuo saulės - akys bus jautresnės šviesai. Vyzdžiai dažniausiai lieka išsiplėtę 2-6 valandas. Šiuo laikotarpiu gali būti sunku fokusuoti vaizdą iš arti. Tyrimas atliekamas nešiojantiems kontaktinius lęšius, tačiau prieš tyrimą kontaktinius lęšius reikės išsiimti. Po tyrimo jų iš karto nepatartina dėtis, kol akys bus jautrios ir regėjimas neryškus.
Kada kreiptis į akių specialistą?
Nedelsiant kreipkitės į akių specialistą, jeigu: patyrėte akių traumą, sužeidimą; jaučiate aštrų akių skausmą; įtariate infekciją; matote blyksnius ir „žaibavimą”; jaučiate „plūduriavimą”; staiga dalinai ar pilnai praradote regėjimą (net jei regos praradimas buvo laikinas); jei staiga pasikeitė vaizdo ryškumas ar matote dvigubą vaizdą. Jei staiga pablogėjo regėjimas, atsirado „žaibai“, juodos dėmės, regėjimo lauko praradimas ar stiprus galvos skausmas kartu su regos sutrikimais - tyrimą būtina atlikti kuo skubiau.
Taip pat kreiptis į gydytoją oftalmologą patariama, pasireiškus šiems simptomams: akių skausmas, perštėjimas; susilpnėjusi rega; ryškumo sumažėjimas; svetimkūnio ar spaudimo jausmas akyse; ašarojimas; matymas „per rūką”; išsiliejęs vaizdas; kraujosruvos akyse.
Kodėl metiniai akių patikrinimai yra svarbūs vaikams
Oftalmologų paslaugos
Affidea klinikose konsultuoja patyrę ir profesionalūs oftalmologai, kurie atlieka profilaktines patikras, atlieka išsamų akių ištyrimą, diagnozuoja ir gydo akių ligas, parenka korekcinius lęšius ar akinius. Oftalmologas patikrina regą; paskiria ir vertina tyrimus, skirtus akių ligų diagnozavimui; paskiria tinkamą gydymą; parenka akinius. Optinė koherentinė tomografija (OCT) technologija - tai modernus, inovatyvus, neinvazinis lazerinis akių tyrimo metodas, kokybiškai leidžiantis vizualizuoti visus tinklainės sluoksnius, regos nervą, jo skaidulas (n. opticus), ragenos tyrimą, priekinės kameros kampo struktūrų įvertinimą, kas leidžia daug tiksliau analizuoti ir priimti tinkamus gydymo taktikos sprendimus. Kai kurie žmonės galbūt manytumėte, jog akių patikrinimas yra tik kosmetinis dalykas ar tik regėjimo klausimas. Tačiau realybė yra daug sudėtingesnė. Akių tyrimai nėra brangūs, jie yra greitai atliekami, jie visiškai neskausmingi, ir jie gali padėti aptikti rimtas ligas anksčiau, nei jos pradėtų sukelti problemų.
Reguliarūs akių tyrimai ne tik užtikrina, kad jūsų regėjimas būtų aštrus, bet ir gali padėti aptikti rimtas sveikatos problemas, kurios gali turėti įtakos jūsų gyvenimo kokybei. Pavyzdžiui, diabetinė retinopatija yra liga, kuri gali sukelti aklumą, jei ji nėra laiku diagnozuota. Be to, glaukoma yra dar viena liga, kuri gali būti nustatyta tik per akių tyrimus. Nesvarbu, kiek jums metų, nuo vaiko iki pensininko, reguliarūs akių tyrimai yra nepaprastai svarbūs jūsų bendrajai sveikatai ir regėjimui.
| Tyrimas | Aprašymas | Svarba |
|---|---|---|
| Akių dugno tyrimas | Tiesioginis tinklainės, regos nervo ir kraujagyslių ištyrimas. | Ankstyva glaukomos, diabetinės retinopatijos, hipertenzinės retinopatijos, tinklainės atšokos ir kitų ligų diagnostika. |
| Regos aštrumo tyrimas | Nustato gebėjimą matyti smulkias detales. | Trumparegystės, toliaregystės, astigmatizmo nustatymas. |
| Akispūdžio matavimas | Matuojamas akispūdis, kuris gali signalizuoti apie glaukomą. | Glaukomos prevencija ir ankstyva diagnostika. |
| Refrakcijos tyrimas | Nustato regėjimo sutrikimus (trumparegystę, toliaregystę, astigmatizmą). | Tinkamų akinių ar kontaktinių lęšių parinkimas. |

