Kūdikių prakaitinis bėrimas - tai neinfekcinis uždegimo procesas, atsirandantis dėl netinkamos odos priežiūros ar perkaitimo. Šie klausimai jaudina daugelį, ne tik jaunus tėvus. Jei kūdikį labai šiltai rengiame, sukame į antklodes, apkamšome didelėmis pagalvėmis, plečiasi prakaitų liaukų latakai ir juos supantys kapiliarai, atsiranda prakaitinis bėrimas. Tai smulkūs rausvi mazgeliai - papulės, dažniausiai susidarančios pilvo, krūtinės srityse, ant veidelio, kaklo, rečiau - galūnių.
Prakaitinis bėrimas atsiranda, kai prakaito liaukos negali natūraliai pašalinti prakaito į odos paviršių. Prakaitas įstringa gilesniuose odos sluoksniuose, todėl susidaro uždegimas, sudirginimas ir smulkūs bėrimai. Tai dažniausiai nutinka karštu oru, kai prakaito gamyba padidėja, o oda yra nuolat drėgna arba trinama.
„Neretai prakaitinis bėrimas atsiranda tuomet, kai oda perkaitinama ir negali normaliai kvėpuoti. Tada prakaitas lieka po oda ir sukelia uždegimą.“ dr. Lina Vaicekauskienė
Kai kurie žmonės prakaitinį bėrimą patiria dažniau, ypač tie, kurie linkę gausiai prakaituoti. Taip pat rizika padidėja dėvint sintetinius ar aptemptus drabužius, nes jie neleidžia orui cirkuliuoti ir didina trintį. Prakaitinis bėrimas gali atsirasti ne tik vasarą - net žiemą, kai ilgai dėvimi šilti drabužiai arba sportuojama patalpose, oda gali perkaisti.
Kūdikiams prakaitinis bėrimas ypač dažnas, nes jų oda yra plonesnė, o prakaito liaukos dar nesubrendusios. Jiems bėrimas dažniausiai pasireiškia ant kaklo, nugaros ar galvos srityje, kur oda nuolat šildoma drabužių, kepurės ar kontaktuoja su paviršiais.
„Kūdikių prakaitinis bėrimas dažnai atrodo įspūdingai, tačiau paprastai yra visiškai nepavojingas ir greitai praeina.“ dr. Tomas Žvirblis
Taip pat prakaitinį bėrimą gali provokuoti intensyvus sportas, drėgnas klimatas, karštas dušas, didelis fizinis krūvis, antsvoris ar nutukimas. Visa tai didina prakaito gamybą ir sukuria nepalankias sąlygas odai.
Odos anatomija ir fiziologija
Žmogaus oda susideda iš dviejų sluoksnių - epidermio ir dermos (tikrosios odos). Epidermis - išorinis odos sluoksnis, susidedantis iš raginio ir bazinio sluoksnio (raginį sluoksnį sudaro nuolat besilupančios negyvos ląstelės, o baziniame gaminasi naujos ląstelės). Po epidermiu esanti derma - tai purus jungiamasis audinys, kuriame yra prakaito ir riebalinės liaukos bei plaukų šaknys. Oda atlieka kelias funkcijas - apsauginę (saugo nuo neigiamų išorinių poveikių), šalinamąją (su prakaitu iš organizmo pašalina medžiagų apykaitos produktus), termoreguliacijos (organizmas prisitaiko prie aplinkos temperatūros), kvėpuojamąją (oras į organizmą patenka ne tik pro plaučius, bet ir pro odos kraujagyslių sieneles vyksta dujų apykaita), juntamąją (odoje yra lietimo, temperatūros ir skausmo receptoriai) ir sintezės (odoje gaminasi vitaminas D, pigmentas melaninas, apsaugantis žmogų nuo ultravioletinių spindulių veikimo). Visos išvardytos odos savybės yra universalios, būdingos ir vaikams, ir suaugusiems.

Kodėl naujagimio oda jautri ir neapsaugota?
Naujagimių oda turi keletą ypatybių, dėl kurių mažas žmogelis yra neapsaugotas. Todėl tėvai turėtų žinoti, kaip tinkamai ją prižiūrėti. Pasak naujagimių gydytojos Lilijos Banėnienės, naujagimio raginis sluoksnis yra labai plonas - 3-4 ląstelių. Kaip tik šis sluoksnis atlieka apsauginę funkciją, todėl naujagimio oda yra lengvai pažeidžiama. Plona oda neužtikrina pakankamos termoreguliacijos, todėl naujagimiai labai greitai perkaista ar atvėsta. Naujagimio odoje yra gausus kapiliarų tinklas. Ši savybė lemia greitesnį infekcijos plitimą ir apsauginė funkcija yra silpnesnė negu suaugusiojo. Kita vertus, gausus kapiliarų tinklas užtikrina spartesnę dujų apykaitą ( kūdikis beveik „kvėpuoja oda“), ir ši funkcija yra daug kartų intensyvesnė negu suaugusiojo. Vaiko odoje yra gausu vandens (naujagimio odoje yra 80-90 proc., o suaugusio - 65-67 proc. vandens). Plona oda aukštesnėje aplinkos temperatūroje greitai praranda drėgmę ir tampa sausa. Be to, kūdikio odoje nedaug melanino, todėl oda neapsaugota nuo ultravioletinių spindulių poveikio.
Kaip atrodo prakaitinis bėrimas?
Prakaitinis bėrimas gali pasireikšti skirtingomis formomis, priklausomai nuo to, kaip giliai prakaitas užsilaiko odoje. Dėl to keičiasi tiek bėrimo išvaizda, tiek pojūčiai - nuo visiškai nepastebimų burbuliukų iki skausmingų mazgelių.
Skaidrūs prakaito burbuliukai (Miliaria crystallina)
Tai lengviausia ir dažniausiai nepavojinga prakaitinio bėrimo forma. Ant odos atsiranda labai smulkūs, skaidraus skysčio pripildyti burbuliukai, primenantys kondensato lašelius. Jie paprastai nesukelia nei skausmo, nei niežėjimo, o oda aplink burbuliukus lieka neparaudusi. Ši forma būdinga tiek kūdikiams, tiek suaugusiems - ypač po karštų vonių, miego šiltame kambaryje arba intensyvaus fizinio krūvio.
„Paviršinis prakaitinis bėrimas dažnai atrodo kaip smulkūs vandeningi lašeliai ir praeina savaime.“ dr. Emily Grant

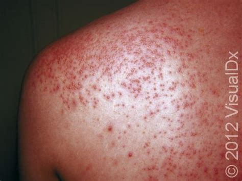
Raudoniniai spuogeliai (Miliaria rubra)
Tai dažniausia prakaitinio bėrimo rūšis. Oda tampa paraudusi, atsiranda smulkūs, į spuogelius panašūs iškilimai, kurie gali niežėti ar deginti. Bėrimas atsiranda ten, kur oda trinasi arba kur daugiausia prakaituojama - ant nugaros, kaklo, krūtinės, pažastyse ar kirkšnyse. Ši forma gali sukelti daugiau diskomforto, tačiau paprastai praeina greičiau, jei oda vėsinama ir laikoma sausa.
„Kai prakaitas įstringa gilesniuose odos sluoksniuose, susidaro uždegiminiai raudoniniai spuogeliai.“ dr. Marco Bellini

Gili, skausminga prakaitinė reakcija (Miliaria profunda)
Tai retesnis, bet intensyvesnis prakaitinis bėrimas. Jis pasireiškia gilesniais, tvirtesniais mazgeliais, kurie gali būti skausmingi. Dažniausiai šis bėrimas atsiranda po ilgo intensyvaus prakaitavimo, ypač sportuojant karštyje ar dėvint neperkvėpuojančius drabužius. Šis bėrimas gali užtrukti ilgiau ir kartais būna linkęs kartotis, todėl pasikartojančiais atvejais verta pasitarti su dermatologu.
„Gilesni prakaito kamščiai gali sukelti mazgelinį bėrimą, kuris išlieka ilgiau ir kartais reikalauja papildomos priežiūros.“ dr. Hannah Weiss

Naujagimių odos priežiūra
„Svarbiausias dalykas yra saugoti kūdikio odelę ir netrukdyti jai kvėpuoti”, - sako naujagimių gydytoja L. Banėnienė. Optimali aplinkos temperatūra - tai viena svarbiausių sąlygų norint tinkamai prižiūrėti odą. Kūdikio odos termoreguliacija silpna, todėl oda negali palaikyti nekintamos kūno temperatūros keičiantis aplinkos temperatūrai. Kambaryje, kuriame gyvena kūdikis, nuolat turėtų būti apie 20º šilumos (perkaitus gali atsirasti prakaitinis bėrimas), pakankamai erdvės, nuolat cirkuliuoti grynas oras. Kuo dažniau vėdinkite kambarį, kuriame kūdikis žaidžia, miega, gyvena. Nerenkite jo per šiltai nei dieną, nei naktį...
Maudymas
Sveiką kūdikį būtina maudyti kasdien. Jei oda nepakitusi, papildomų priemonių naudoti nereikia. Į vonelę pilame apie 37ºC temperatūros vandens iš čiaupo (vandens virinti nereikia), o muilą naudojame 1-2 kartus per savaitę. Jei kūdikėlio odelė linkusi sausėti, maudymo metu į vonelę galime įpilti šaukštelį specialaus aliejaus. „Jei kūdikį vargina prakaitinė, jį reikėtų maudyti kasdien, įpilant į vonią pavyzdžiui, ramunėlių, lakišiaus, ąžuolo žievės vaistažolių mišinio”, - pataria naujagimių gydytoja Lilija Banėnienė. Po maudynių kūdikio odelę labai atidžiai nusausinkite, ypač raukšles. Galite naudoti aliejų, tačiau būkite itin atidūs - oda pasidaro slidi, ir kūdikis gali išslysti iš rankų. Odos rankšluosčiu netrinkite, nusausinkite priglausdami rankšluosčiu.
Tėveliai dažniausiai bijo naujagimį maudyti, kol nenukrito virkštelė. Nebijokite to daryti! Vandens virinti nereikia, tik po maudynių nuvalykite virkštelę virintu vandeniu ir nusausinkite ją.
Odos drėkinimas
Vaiko odą apžiūrinėkite kiekvieną dieną. Jei pastebėjote sausus plotus, juos sudrėkinkite intensyviu drėkinamuoju kremu ar losjonu. Taip pat tinka naminės priemonės - saulėgrąžų ar alyvų aliejus (prieš naudojimą aliejų pakaitinkite), uždegimą slopinantis medetkų aliejus arba kitas aliejus, skirtas kūdikio odos priežiūrai.
Raukšlių priežiūra
Atidžiai prižiūrėkite raukšlių odą - kirkšnis, kaklą, kelius ir kt. „Nupraususi gerai nusausinkite linkusią šusti odą ir tepkite ją specialiais kremais, kurių sudėtyje yra cinko oksido. Kremu tepkite užpakaliuką po kiekvieno prausimo. Raukšlėms prižiūrėti tinka ir specialūs prausikliai. Tačiau negalima kremu tepti visos odos - tai trukdo jai kvėpuoti”, - pataria vaikų gydytoja.
Oro ir saulės vonios
Saikingos saulės vonios yra būtinas odos higienos elementas, svarbi profilaktinė priemonė nuo prakaitinio bėrimo ir iššutimų. Vystydami kūdikį leiskite jam pabūti nuogam - tegul pasimuisto, pakrykštauja, tai ne tik geros emocijos, bet normalizuojasi prakaito liaukų veikla, oda geriau kvėpuoja. Labai efektyvios oro vonios, trunkančios 10-15 min. Vasarą jas galima daryti atvirame lauke. Paguldykite kūdikį sode medžių pavėsyje, verandoje ar po tentu. Svarbu vengti tiesioginių saulės spindulių. Rudeniop, be abejo, reikės apsieiti be saulės vonių, bet oro vonias galima puikiai atlikti ir kambaryje.

Kaip gydyti prakaitinį bėrimą?
Prakaitinio bėrimo gydymas priklauso nuo to, kurios rūšies bėrimas pasireiškė ir kiek stipriai jis vargina. Svarbiausia - sumažinti odos perkaitimą, sudirgimą ir leisti jai kvėpuoti. Teisingas gydymas paprastai užtikrina greitą palengvėjimą ir užkerta kelią komplikacijoms, tokioms kaip bakterinė superinfekcija.
Odos vėsinimas ir sausumo palaikymas
Pirmasis ir svarbiausias žingsnis - sumažinti šilumą tose odos vietose, kuriose atsirado bėrimas. Drėgna ir šilta aplinka yra ideali terpė prakaito liaukų užsikimšimui, todėl būtina oda pasirūpinti taip, kad ji būtų kuo sausesnė ir vėsesnė. Vėsūs kompresai, vėsaus oro srautas ar lengvas dušas gali sumažinti uždegimą ir paraudimą. Reikėtų vengti karštų vonių ar dušų, nes jie tik paskatina prakaito gamybą. Kūdikiams svarbu nepersluoksniuoti drabužių ir leisti odai „kvėpuoti“.
„Prakaitinis bėrimas gerėja tada, kai sumažinamas odos perkaitimas - net paprastas vėsus kompresas gali duoti greitą palengvėjimą.“ dr. Jonathan Miller
Tinkama drabužių ir audinių parinktis
Drabužiai turi būti lengvi, laisvi ir pralaidūs orui. Medvilnė, bambuko pluoštas ar kiti natūralūs audiniai leidžia odai išgarinti drėgmę ir sumažina trintį. Glaudžiai prigludę arba sintetiniai drabužiai sulaiko šilumą ir drėgmę, todėl gali pabloginti bėrimą. Vaikams dažnai pakanka pakeisti drabužius į plonesnius, o suaugusiesiems - vengti sportinių rūbų, kurie tinka treniruotėms, bet ne ilgam kasdieniam dėvėjimui karštyje.
„Audiniai, kurie neleidžia odai kvėpuoti, gali palaikyti bėrimą ilgiau nei būtina.“ dr. Sofie Lund
Renkime mažylius tik natūralaus pluošto rūbeliais.
Švelnios, odą raminančios priemonės
Prakaitinis bėrimas dažnai pagerėja naudojant paprastas, švelnias ir nedirgininančias priemones. Labai tinka cinko tepalai, panthenolis, alavijų gelis ir lengvi drėkinamieji kremų tipai. Reikėtų vengti riebių, užkemšančių kremų, kurie tik padidina prakaito susilaikymą odoje. Vaistinėse yra specialių kremų jautriai arba sudirgusiai odai, kurie ramina ir mažina paraudimą. Taip pat padeda kūno pudros ar specialūs talko produktai, naudojami saikingai.
„Dauguma žmonių daro klaidą ir užtepa riebių kremų, bet tai tik apsunkina prakaito pasišalinimą iš porų.“ dr. Markus Feldmann
Ko reikėtų vengti?
Labai svarbu nenaudoti stiprių riebių tepalų, agresyvių kvepiančių kosmetikos priemonių ar antibakterinių gelių be reikalo. Tokios priemonės gali dirginti odą dar labiau arba skatinti prakaito užsilaikymą, todėl gijimas užtrunka. Taip pat reikėtų vengti intensyvaus trynimo, grubių rankšluosčių ir sporto veiklų, kurios sukelia papildomą šilumą ir prakaitą, kol bėrimas neatslūgsta.
Kada būtina gydytojo konsultacija?
Nors prakaitinis bėrimas dažniausiai praeina per kelias dienas, yra situacijų, kai reikalinga gydytojo pagalba. Jei bėrimas tampa skausmingas, atsiranda gelsvų šašų, pūlinukų, pakyla temperatūra ar bėrimas išplinta labai greitai, tai gali būti infekcijos požymis. Bėrimas atsiranda po prakaitavimo ir praeina atvėsinus odą.
| Kategorija | Kaip atrodo? | Vertinimas |
|---|---|---|
| Nepavojingi požymiai | Smulkūs raudoni taškeliai, skaidrūs burbuliukai, lengvas paraudimas kaklo raukšlėse, ant nugaros ar galvos. Kūdikis elgiasi įprastai, nėra dirglumo. | Nepavojinga |
| Reikalaujantys dėmesio | Oda atrodo sudirgusi, atsiranda stipresnis paraudimas, šlapiavimas ar bėrimas nepraeina net sumažinus karštį. Kūdikis tampa neramesnis. | Stebėti ir koreguoti priežiūrą |
| Pavojingi požymiai | Pūlinukai, gelsvos plutelės, karščiavimas, labai skausmingi mazgeliai ar greitai plintantis bėrimas. Tai gali reikšti antrinę infekciją. | Gali būti pavojinga |
Jeigu, nepaisant geros ir teisingos priežiūros, odos pakitimai išlieka, būtina kūdikį ištirti, ar neserga žarnyno disbakterioze, rachitu, alerginiu dermatitu arba kita patologija, ir atitinkamai gydyti. Atsiradus pūlingo bėrimo požymiams, nedelsdamos kreipkitės į gydytoją”, - pataria naujagimių specialistė.

tags: #kaip #atrodo #kudikio #prakaitine

