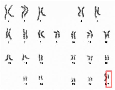
Planuodami vaikelio atėjimą į šį pasaulį visi tėvai tikisi, kad jis bus sveikas, gražus ir stiprus. Tačiau šiam sindromui būdingi tam tikrai simptomai ir bruožai. Dauno sindromas arba Dauno liga, dar kitaip žinoma kaip Trisomija 21 - genetinis sutrikimas, kurio priežastis 21 chromosomos trisomija. Dauno sindromas diagnozuojamas tada, kai žmogus turi pilną arba dalinę papildomą 21-ąją chromosomą. Paprastai chromosomos turi dvi chromatides, tai yra dvi dalis, iš kurių susidaro X formos chromosoma, trisomijos atveju X formos nebelieka ir atsiranda pavienės trys chromosomos - chromatidės. Tai reiškia, kad 21 chromosoma yra patrigubėjusi. Taip suardoma natūrali genetinės informacijos tvarka. Ši liga pasireiškia vėluojančių pažinimo gebėjimų vystymusi, protiniu atsilikimu, sutrikusiu arba vėluojančiu fiziniu augimu. Taip pat galima pastebėti pakitusius, tik šį sindromą turintiems žmonėms būdingus veido bruožus: įkypas, mažas akis, plokščią nosį ir pakaušį, dėmes akies rainelėje.
Dauno sindromas yra chromosominė liga, kai chromosomų skaičius organizmo ląstelėse nėra taisyklingas. Kadangi chromosomose saugoma visa mūsų genetinė informacija, papildomą chromosomą turintis žmogus turi jos perteklių. Tai suardo normalų vystymąsi, gali sukelti aibę sveikatos problemų ir pasireikšti įvairiais fiziniais požymiais. Vis dėlto ne visiems Dauno sindromu sergantiems žmonėms tokie požymiai pasireiškia vienodai. Nebūtinai prie kiekvieno šį sutrikimą turinčio asmens prikibs ir gretutinės problemos, pavyzdžiui, širdies ydos. Net 10 % tokių vaikų gali sirgti epilepsija.
Įprastai suaugusių žmonių su Dauno sindromu vidutinis IQ koeficientas lygus apie 50, kai vidutinio suaugusiojo be sutrikimų jis lygus apie 100. Protinis atsilikimas apibrėžiamas kai IQ koeficientas siekia 70 ir žemiau. Didelei daliai Dauno liga sergančių žmonių pasireiškia sunkaus laipsnio protinė negalia. Tačiau reikia nepamiršti, kad tokie asmenys, lygiai kaip ir visi kiti, yra unikalios asmenybės.

Deja, bet Dauno sindromas nesirenka nei rasės, nei odos spalvos ar išsilavinimo, tad rizika pagimdyti šia liga sergantį vaiką vienoda visų rasių, socialinių grupių, įvairaus išsilavinimo ar religinių pažiūrų žmonėms. Tačiau pastebima, jog didesnė rizika pagimdyti Dauno liga sergantį vaiką atsiranda moterims nuo 35 - 40 m. Nors tai labai dažnai įvardijama kaip liga, tačiau šiandien teigiama, kad Dauno sindromas nėra liga, bet būklė, su kuria vaikas ateina į šį pasaulį ir gyvena jame visą savo gyvenimą. Ekspertė teigia, kad vidutinė Dauno sindromu sergančių žmonių gyvenimo trukmė yra ne ką trumpesnė nei visiškai sveiko žmogaus - ji siekia 60-70 metų.
Vienam iš 700 - tokiu dažnumu vaikams nustatomas Dauno sindromas. Nors nėra itin reta, apie šią chromosominę ligą visuomenėje sklando dar nemažai mitų. Vienas iš jų - tai, kad Dauno sindromą turintys žmonės negali pasirūpinti nei savimi, nei kitais, o ką jau kalbėti apie jų galimybes dirbti. Vis dėlto ne visiems Dauno sindromu sergantiems žmonėms tokie požymiai pasireiškia vienodai. Užkirsti šiai ligai kelio, anot specialistės, taip pat nėra kaip. Deja, bet nei sveikas gyvenimo būdas, nei žalingų įpročių neturėjimas, nei visa kita neturi įtakos, kad mes galėtume išvengti klaidų kiaušialąstei dalijantis. Vis dėlto yra vienas faktorius, kuris padidina tikimybę, jog vaikeliui pasireikš Dauno sindromas: statistika yra tokia, kad bendras Dauno ligos paplitimas yra 1 iš 700. (...) O jeigu gimdo 45 m.
Nors Dauno sindromas dar vadinamas Dauno liga, tačiau tai nėra liga, kurią galima pagydyti. Atsižvelgiant į vyraujančius sutrikimus, kiekvienam vaikui taikomas simptominis gydymas, speciali priežiūra bei individualus mokymas. Kadangi gyvename XXI amžiuje, vaikai su Dauno sindromu sėkmingai integruojami į visuomenę, kurioje gali vystytis, tobulėti ir pasiekti individualių rezultatų. Dauno sindromą turintys žmonės yra lygiai tokie patys, kaip ir jūs. Jie lygiai taip pat nori gyventi, mokytis, turėti savo pomėgių, draugų ir būti mylimi.
Gajus mitas, įsitvirtinęs visuomenėje, jog žmonės su Dauno sindromu ne tik negali mokytis, lankyti bendrojo lavinimo mokyklų, bet ir ateityje, suaugus, negali dirbti, negali būti visaverčiais visuomenės nariais, kas vėlgi yra netiesa. Atradus sritį, kuri žmogui su Dauno sindromu būtų artima, jis tikrai gali būti sėkmingas darbuotojas, galbūt asistentas, padėjėjas, praktikantas. Iš esmės tai juk kiekvienas žmogus su negalia ar be negalios nori tų pačių dalykų: mokytis, dirbti, mylėti, būti mylimi, turėti draugų, leisti laisvalaikį taip, kaip nori. Tai ar čia yra tie specialieji poreikiai? Specialistė pabrėžia, kad kiekvienas Dauno sindromą turintis žmogus yra individualus: vienas, sulaukęs 20-ies, gali puikiai savimi pasirūpinti, dirbti, o jo bendraamžis, galbūt turintis papildomų ligų, dar nėra toks savarankiškas.
Kaip rodo surinkta medžiaga, žmonių, sergančių Dauno sindromu, gyvenimas dažniausiai klostosi gerai, o kasdienybė nesiskiria nuo kitų. Turintys šį genetinį sutrikimą vaikai yra labai meilūs, mieli, geri, nuoširdūs ir draugiški. Vienas iš 700 - tokiu dažnumu vaikams nustatomas Dauno sindromas. Nors nėra itin reta, apie šią chromosominę ligą visuomenėje sklando dar nemažai mitų. Dauno sindromas kaip 21 chromosomos trisomija buvo įvardintas Dr. Spalio 20 d. minima Nacionalinė Dauno sindromo diena. Lietuvoje Higienos instituto Sveikatos informacijos centras, remdamasis naujausiais „Sveidros“ duomenimis, pažymi, kad chromosomų anomalijomis (Dauno sindromas į šią klasifikaciją įtrauktas) sergančiųjų 2010 m. užregistruota 737 (0-17 m. - 456 asmenys; 18 m. ir daugiau - 281). Iš jų 79 (0-17 m.
| Metai | Registruoti asmenys su Dauno sindromu (0-17 m.) | Registruoti asmenys su Dauno sindromu (18 m. ir daugiau) | Iš viso |
|---|---|---|---|
| 2010 | 456 | 281 | 737 |
Šiuo tikslu, kovo 21 d. paskelbta pasauline Dauno sindromo arba skirtingų kojinių diena. Šios dienos tikslas - formuoti teigiamą visuomenės požiūrį į „kitokius“ žmones bei sėkmingą jų pačių ir jų šeimų integraciją į visuomenę. Vyras pasakoja, kad atkakliai dirbti ir gerumu dalintis su kitais jį išmokė tėvai. Mama sakydavo man: „Eik dirbti, gyvenk savo gyvenimą.“ O tėtis sakydavo: „Turi gerą širdį, padėk visiems.“
Pirma reakcija sužinojus, kad tu laukiesi arba kad tau gimė kūdikis su Dauno sindromu, visų turbūt yra daugmaž panaši: kyla baimė, puolame skaityti internete, naršyti, sužinome galbūt klaidingą informaciją ir viską taikome iškart sau. Kiekviena šeima tą susitaikymo etapą išgyvena skirtingai, tačiau kuo anksčiau su vaiku bus dirbama, tuo daugiau jis turės galimybių greičiau visko išmokti, greičiau prisitaikyti. Vaiko, turinčio Dauno sindromą, ugdymas reikalauja ypatingo dėmesio ir individualaus požiūrio. Dauguma vaikų, sergančių Dauno sindromu, ugdomi paprastose mokyklose, o kiti reikalauja specialių ugdymo įstaigų. Šeimos, auginančios Dauno sindromą turinčius vaikus, išgirsta pačių įvairiausių stereotipų. Pavyzdžiui, gana dažnas - jog šią genetinį sutrikimą turintys vaikai gimsta tik asocialiems tėvams.
Visų pirma reikia nusiteikti ir susitaikyti, kad pagimdžius kūdikį su Dauno sindromo diagnoze viskas bus šiek tiek kitaip. Viena mama yra taip taikliai pasakiusi, jog kažkas laimi milijoną, o kažkas laimi papildomą laimės chromosomą. Kad įdarbinti Dauno sindromą ar kokią nors kitą negalią turinčius žmones verta, mano ir Timas Van Wijkas, restorano „Pirmas blynas“ vadovas. Šiame restorane olandas įdarbina tik negalią turinčius darbuotojus, iš jų šiuo metu keturi turi būtent Dauno sindromą.

Restorano savininkas neslepia - iš pradžių klientų reakcijų sulaukdavo ne tik pozityvių. Neretai jie, pamatę darbuotojus su negalia, apsisukdavo ir išeidavo. Mes jau matome didelį skirtumą: žmonės nori čia ateiti būtent todėl, kad čia dirba žmonės su negalia. Olandas neatsidžiaugia savo darbuotojais, o jo darbuotojai - galimybėmis save realizuoti. Evaldas neslepia, kad ir jis pats darbą mato kaip vieną svarbiausių dalykų savo gyvenime, dėl to turi įgijęs staliaus ir virėjo specialybes. Vis dėlto pasvajoja jis ir apie kitus dalykus.

Vaikus, turinčius Dauno sindromą, auginantys tėvai visuomenei teikia daug žinių apie savo gyvenimą, prisideda prie tyrimų. Kadangi chromosomose saugoma visa mūsų genetinė informacija, papildomą chromosomą turintis žmogus turi jos perteklių. Tai suardo normalų vystymąsi, gali sukelti aibę sveikatos problemų ir pasireikšti įvairiais fiziniais požymiais. Vis dėlto ne visiems Dauno sindromu sergantiems žmonėms tokie požymiai pasireiškia vienodai. Nebūtinai prie kiekvieno šį sutrikimą turinčio asmens prikibs ir gretutinės problemos, pavyzdžiui, širdies ydos.
tags: #dauno #sindromu #sergantis #vaikas #persikele #gyventi

