Plaučių uždegimas, dar vadinamas pneumonija, yra ūminis plaučių audinio infekcinis susirgimas. Jį būtina nedelsiant gydyti: tik taip galima užkirsti kelią rimtoms, gyvybei pavojingoms komplikacijoms. Ši liga pasireiškia, kai bakterijos ar virusai patenka į alveoles. Plaučių uždegimas gali paveikti bet kokio amžiaus žmones - nuo kūdikio iki senjoro. Tai rimta kvėpavimo sistemos infekcija, galinti paliesti bet kokio amžiaus žmogų. Plaučių uždegimas yra pakankamai dažna liga, ypač šaltuoju metų laiku, kai susidaro palankios sąlygos virusams ir bakterijoms plisti.
Kas yra plaučių uždegimas?
Plaučių uždegimas (pneumonija) - tai infekcinis plaučių audinio uždegimas, kuomet dėl bakterijų, virusų ar kitų mikroorganizmų įsiskverbimo uždegimas išplinta į plaučių alveoles - mažus oro maišelius, kuriuose vyksta dujų apykaita. Esant uždegimui, alveolės užsipildo skysčiais ar pūliais, todėl plaučiai praranda gebėjimą tinkamai atlikti savo pagrindinę funkciją - užtikrinti efektyvų deguonies tiekimą organizmui. Plaučių uždegimas - tai ūminė ar lėtinė infekcinė plaučių audinio liga, pažeidžianti alveoles ir aplinkinius intersticinius audinius. Uždegimo metu alveolės prisipildo skysčio ar pūlingo sekreto, dėl to sutrinka dujų apykaita ir organizmas negauna pakankamai deguonies.
Plaučių uždegimą gali sukelti įvairūs mikroorganizmai ir išoriniai veiksniai. Kiekvienu iš šių atvejų reikia skirtingo gydymo ir stebėsenos. Dažniausiai plaučių uždegimą sukelia bakterijos, virusai arba rečiau - grybeliai. Plaučių uždegimą gali sukelti skirtingi sukėlėjai - bakterijos arba virusai, nuo kurių priklauso ligos vystymasis ir gydymas. Plaučių uždegimą gali sukelti įvairios bakterijos, virusai, bakterijos ir virusai kartu.

Plaučių uždegimo priežastys ir rizikos veiksniai
Plaučių uždegimas atsiranda dėl įvairių patogenų, kurie įsiskverbia į kvėpavimo sistemą ir sukelia plaučių audinių uždegimą. Dažniausios plaučių uždegimo priežastys yra bakterijos ir virusai, kurie gali būti perduodami tiesioginio kontakto su infekuotu asmeniu, oro lašeliniu būdu arba netiesiogiai - per užterštus paviršius. Dažniausiai bakterinės pneumoniją sukelia Streptococcus pneumoniae. Virusinę pneumoniją dažniausiai sukelia kvėpavimo takų virusai. Grybai iš dirvožemio ar paukščių išmatų gali sukelti plaučių uždegimą. Dažniausiai šios rūšies pneumonija suserga žmonės su nusilpusia imunine sistema.
Taip pat plaučių uždegimo rūšių ir sukėlėjų įvairovė yra pakankamai didelė, todėl gydymas kiekvienu atveju gali būti individualus. Kai plaučių uždegimu susergama už sveikatos priežiūros įstaigos ribų, tai vadinama visuomenėje įgyta pneumonija. Ją gali sukelti bakterijos, virusai, grybeliai (pelėsiai) ir protozojai. Tai taip pat apima aspiracinę pneumoniją, kuri atsiranda, kai įkvepiamas maistas, skystis ar kitos medžiagos.
Rizikos veiksniai
Tam tikri žmonės turi didesnę riziką susirgti plaučiu uždegimu. Rizikos veiksniai, didinantys plaučių uždegimo tikimybę, gali būti įvairūs. Vienas svarbiausių - nusilpusi imuninė sistema, kuri būdinga kūdikiams, vyresnio amžiaus žmonėms, taip pat asmenims, sergantiems ŽIV/AIDS ar gydomiems chemoterapija. Be to, ir lėtinės ligos, tokios kaip astma, lėtinė obstrukcinė plaučių liga (LOPL) ar širdies nepakankamumas, taip pat didina riziką. Žinoma, didesnę tikimybę susirgti plaučių uždegimu turi ir rūkaliai, nes rūkymas silpnina plaučių apsauginius mechanizmus ir sudaro palankias sąlygas infekcijoms. Dar vienas svarbus rizikos veiksnys yra hospitalizacija. Ligoninėse įgytos pneumonijos gydymas dažniausiai būna sudėtingesnis ir reikalauja ypatingos priežiūros.
Neretai plaučių uždegimas yra laikomas mažų vaikų bei pagyvenusių žmonių liga: juo dažniausiai suserga vaikai iki 3 m. amžiaus bei 65+ m. asmenys. Vaikams didesnė rizika susirgti yra jaunesniems nei 5 metų. Nepriklausomai nuo amžiaus, asmenys, sergantys lėtinėmis ligomis, yra didesnėje rizikoje susirgti pneumonija. Žmonės su nusilpusia imunine sistema yra didžiausios rizikos grupėje.

Plaučių uždegimo simptomai
Plaučių uždegimo požymiai ir simptomai gali svyruoti nuo lengvų iki sunkių, priklausomai nuo tokių veiksnių kaip infekciją sukeliantys mikroorganizmai, amžius ir bendra sveikatos būklė. Naujagimiai ir kūdikiai kartais nerodo aiškių infekcijos požymių. Plaučių uždegimo simptomai gali būti įvairūs ir priklausyti nuo ligos sukėlėjo, paciento amžiaus bei bendros sveikatos būklės. Tačiau pagrindiniai simptomai, kurie dažniausiai pasireiškia, yra karščiavimas, stiprus kosulys ir dusulys. Karščiavimas dažnai pasireiškia kartu su šaltkrėčiu ir prakaitavimu. Kosulys gali būti sausas arba lydimas skreplių, kuriuose kartais gali matomos ir kraujo priemaišos. Dusulys atsiranda, nes alveolėms užsipildžius skysčiais, sumažėja deguonies įsisavinimo efektyvumas.
Be pagrindinių simptomų, plaučių uždegimas dažnai sukelia bendrą silpnumą, nuovargį ir raumenų skausmus, panašius į tuos, kurie būdingi peršalimui ar gripui. Kai kurie pacientai gali jausti krūtinės skausmą, kuris paaštrėja kosint ar giliai įkvepiant.
Plaučių uždegimo simptomai vaikams
Vaikams ir kūdikiams simptomai gali būti sunkiau atpažįstami - jie gali pasireikšti dirglumu, vangumu, apetito praradimu ar vėmimu. Vaikams plaučių uždegimas dažnai pasireiškia aukšta temperatūra, greitu kvėpavimu, vangumu, kartais - kosuliu ar pilvo skausmu. Tai priklauso nuo ligos tipo, sunkumo ir sergančiojo būklės. Taip pat retais atvejais pasireiškia pilvo skausmai, pykinimas (dažniausiai šie simptomai pasireiškia vaikams).
Plaučių uždegimas be temperatūros ar kosulio
Plaučių uždegimo požymiai dažnai būna panašūs į gripo ar peršalimo požymius, tačiau jų stiprumas ir trukmė, taip pat kartu esantis dusulys, yra ženklas, kad situacija gali būti kur kas rimtesnė. Plaučių uždegimas gali pasireikšti skirtingai - nuo stiprių simptomų iki visiško jų nebuvimo. Besimptomis plaučių uždegimas - tai ligos forma, kai nepasireiškia tipiški simptomai, tokie kaip karščiavimas, kosulys ar krūtinės skausmas. Tokiu atveju gali būti jaučiami tik bendro pobūdžio negalavimai: silpnumas, mieguistumas, sumažėjęs apetitas, pasunkėjęs kvėpavimas.
Taip pat gali. Plaučių uždegimas be temperatūros dažnesnis vyresnio amžiaus žmonėms, nusilpusios imuniteto asmenims ar sergantiems lėtinėmis ligomis. Taip, plaučių uždegimas be kosulio galimas, ypač vaikams, vyresnio amžiaus žmonėms ar asmenims, kurių imuninė sistema nusilpusi. Todėl svarbu atkreipti dėmesį į kitus galimus požymius: dusulį, karščiavimą, bendrą silpnumą, mieguistumą ar pakitusį kvėpavimą.
Vyresnio amžiaus žmonėms plaučių uždegimas kartais pasireiškia neįprastais simptomais, tokiais kaip sumišimas ar dezorientacija, net jei kiti požymiai yra lengvi. Dėl šios priežasties, atsiradus simptomams, svarbu kuo greičiau kreiptis į gydytoją, nes laiku pradėtas gydymas gali reikšmingai sumažinti komplikacijų riziką.

Plaučių uždegimo diagnostika
Plaučių uždegimo diagnozė prasideda nuo išsamios medicininės anamnezės ir fizinės apžiūros. Gydytojas klausia apie paciento simptomus, jų trukmę ir stiprumą, taip pat apie galimą kontaktą su infekuotais asmenimis. Fizinės apžiūros metu stetoskopu klausomi plaučiai, siekiant aptikti būdingus garsus, kurie rodo galimą uždegimą.
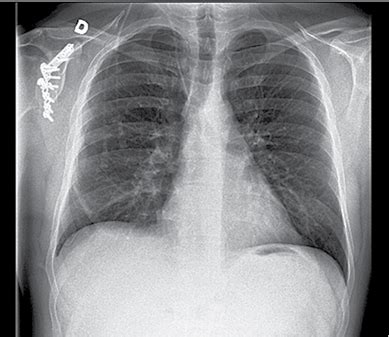
Tikslesnei diagnozei nustatyti gali būti atliekami įvairūs laboratoriniai ir instrumentiniai tyrimai. Pirmasis žingsnis dažnai yra krūtinės ląstos rentgenograma, kuri leidžia įvertinti uždegimo lokalizaciją, dydį ir pobūdį. Jei situacija sudėtingesnė, gali būti atliekama kompiuterinė tomografija, kuri pateikia detalesnį plaučių vaizdą. Kraujo tyrimai - atliekami siekiant įvertinti uždegimą ir nustatyti infekcijos pobūdį. Sergant plaučių uždegimu nustatomas padidėjęs leukocitų kiekis, aptinkama toksinių granuliocitų, padidėja eritrocitų nusėdimo greitis, taip pat C reaktyvinio baltymo (CRB) koncentracija kraujo serume.
Dar vienas svarbus tyrimas yra skreplių pasėlis. Jie leidžia nustatyti tikslų sukėlėją ir, jei reikia, pritaikyti tinkamus antibiotikus. Taip pat gali būti atliekama pulsoksimetrija - neskausmingas būdas, skirtas matuoti deguonies kiekį kraujyje.

Plaučių uždegimo gydymas
Plaučių uždegimo gydymas priklauso nuo ligos sukėlėjo, sunkumo ir paciento sveikatos būklės. Tačiau pagrindinis gydymo tikslas visuomet išlieka toks pat - pašalinti infekciją, palengvinti simptomus ir užkirsti kelią komplikacijoms. Kiekvienu atveju svarbu pradėti gydymą kuo greičiau, kad liga neprogresuotų ir nepakenktų organizmui dar labiau, sukeliant komplikacijas.
Medikamentinis gydymas yra pagrindinis būdas kovoti su plaučių uždegimu. Jei uždegimą sukelia bakterijos, gydytojas paskiria antibiotikus. Dažniausiai skiriamas vienas antibiotikas, tačiau esant sunkesnei pneumonijai gali būti skiriami ir antibiotikų deriniai. O virusinės pneumonijos atveju skiriami antivirusiniai vaistai. Esant reikalui gali būti skiriama ir deguonies terapija.
Jei nustatyta, kad plaučių uždegimą sukėlė virusas, antibiotikų nereikia. Įprastai bakteriniam plaučių uždegimui gydyti skiriama per burną vartojamų antibiotikų. Gydant ligoninėje, antibiotikai ir skysčiai lašinami tiesiai į veną. Jei vaikas serga bakterijų sukelta pneumonija, duokite tiksliai tiek vaistų, kiek nurodė gydytojas. Prieš duodami vaikui vaistų nuo kosulio, pasitarkite su gydytoju.
Gydymas taip pat gali būti ir simptominis. Jis apima priemones, skirtas sumažinti ligos simptomus ir pagerinti paciento savijautą. Karščiavimui mažinti naudojami paracetamolis ar ibuprofenas, kurie taip pat padeda sumažinti skausmus. Jei kosulys labai vargina, gali būti skiriami atsikosėjimą lengvinantys vaistai, kurie padeda suskystinti skreplius ir palengvina jų pašalinimą iš kvėpavimo takų.
Žinoma, svarbus ir gyvenimo būdas. Pacientui rekomenduojamas poilsis ir lovos režimas, kad organizmas galėtų efektyviai kovoti su infekcija. O gausus skysčių vartojimas padeda atstatyti prarastus skysčius ir skystina skreplius, palengvindamas jų pašalinimą. Na, o sunkiais atvejais gali prireikti hospitalizacijos, ypač jei pacientas priklauso rizikos grupėms arba susiduria su komplikacijomis, tokiomis kaip kvėpavimo nepakankamumas. Gydymo trukmė ir sudėtingumas labai priklauso nuo individualių aplinkybių, todėl svarbu laikytis gydytojo nurodymų ir stebėti ligos eigą.
Pneumonijos gydymas skirtas infekcijos šalinimui ir komplikacijų prevencijai. Antibiotikai - skiriami bakterinės pneumonijos gydymui. Antipiretikai - skiriami, kai žmogus patiria diskomfortą dėl karščiavimo ar skausmo infekcijos metu. „Drops Clinic“ šeimos klinika siūlo atvykti į kliniką, pasikonsultuoti su šeimos arba vidaus ligų gydytoju, kuris paskirs individualią lašelinę. Skiriami tik tie vaistai, kurie yra būtini, o jų įsisavinimas per kraują yra daug greitesnis nei geriant tabletes. Be vaistų, “Drops Clinic” pacientams skiria ir didelę vitaminų dozę, kuri stiprina nusilpusį organizmą. Tai padeda palaikyti energiją, neprarasti apetito ir greičiau sveikti. Intensyviosios terapijos skyriuje gali būti gydomi pacientai, kuriems reikia dirbtinės plaučių ventiliacijos arba turintys sunkius simptomus.
Kaip gydyti plaučius | Kinų medicinos paslaptys
Reabilitacija ir prevencija
Atsigavimas po plaučių uždegimo gali būti ilgas procesas. Nors kai kuriems žmonėms sveikata pagerėja per savaitę, kitiems gali prireikti mėnesio ar daugiau, kol jie jausis geriau. Visą mėnesį gali išlikti nuovargis, kosulys, energijos stoka, todėl labai svarbu suteikti kūnui pakankamai laiko atsigauti. Taip pat po gydymo gali būti nesusiformavęs imunitetas , todėl yra lengva susirgti kita liga, kuri gali pailginti sveikimo procesą.
Reabilitacija po plaučių uždegimo - tai svarbus sveikimo etapas, padedantis atkurti kvėpavimo funkciją, sustiprinti imuninę sistemą ir sumažinti pakartotinio susirgimo ar lėtinio plaučių uždegimo riziką. Specialiai parinktos vitaminų ir mikroelementų lašelinės gali padėti greičiau atsigauti po plaučių uždegimo, sustiprinti imuninę sistemą ir sumažinti ligos komplikacijų tikimybę.
Poilsis: Tinkamas poilsis yra ypatingai svarbus visiškam atsigavimui. Higiena: laikykitės kosėjimo ir čiaudėjimo higienos, tai daryti į servetėlę, delną ar alkūne. Priešuždegiminė Lašelinė: ne tik mažina uždegimą, bet ir stiprina imunitetą, ramina nervų sistemą bei suteikia energijos. Vitaminų Lašelinės: tai greitas, saugus ir efektyvus būdas aprūpinti organizmą visais reikalingais vitaminais bei mineralais. Kadangi procedūros metu veikliosios medžiagos aplenkia virškinimo sistemą, jos patenka tiesiai į kraujotaką, užtikrindamos 100 % bioprieinamumą ir greitai juntamą terapinį poveikį.Taip pat vitaminų lašelinė gali būti derinama su antioksidantais ir mikroelementais. Antioksidantai padeda pašalinti iš organizmo susikaupusius toksinus, virusų ar bakterijų likučius, veikdami tarsi apsauginis skydas. Mikroelementai, tokie kaip cinkas ir varis, yra itin svarbūs organizmui sveikstant po ligų.
Imuniteto stiprinimas papildomais būdais, pvz. Žinios apie plaučių uždegimo priežastis, simptomus ir gydymo metodus yra ypatingai svarbios kiekvienam, norinčiam apsaugoti save ir savo artimuosius nuo šios dažnai pavojingos ligos. Svarbu taip pat nepamiršti prevencijos priemonių, tokių kaip subalansuota mityba, reguliarus fizinis aktyvumas ir skiepai, kurie padeda stiprinti imuninę sistemą bei mažina pneumonijos atsiradimo riziką.
Pats plaučių uždegimas nėra priskiriamas prie užkrečiamų ligų, tačiau galima užsikrėsti jį sukeliančiais kvėpavimo takų virusais ir bakterijomis. Bakterijos taip pat gali plisti dalijantis indais, stalo įrankiais, rankšluosčiais, nosinaitėmis ir pan. Kai kurių tipų plaučių uždegimo galima išvengti skiepijant. Lietuvoje vaikai skiepijami PVC vakcina (skiepais nuo pneumokoko) bei vakcina nuo kokliušo. Taip pat rekomenduojama pasiskiepyti nuo gripo ir COVID-19.

